2025-10-10 08:06:01|已浏览:1091159次
"哎,这假牙咋咬不动苹果啊?"张阿姨举着咬了一半的红富士直犯愁。她上个月刚换了副吸附性义齿,本以为能像真牙一样"咔嚓"啃骨头,结果连脆苹果都搞不定。隔壁王大爷叼着活动义齿啃排骨的样子,倒让她羡慕得直咂嘴。

这场景是不是特眼熟?很多戴假牙的朋友都遇到过类似困惑:明明花了大价钱,咋吃饭还不如老假牙利索?其实啊,活动性和吸附性义齿就像两双不同款式的鞋,走平路和爬山路结果能一样吗?今天咱们就掰开揉碎,把这俩"假牙界扛把子"的底细摸个透。
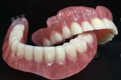
活动义齿就像给牙齿戴了个"金属手镯"。它靠卡环勾住旁边的真牙,再用基托盖住牙龈,像搭积木似的把假牙固定住。这种设计特别适合缺牙多、牙床条件差的情况——哪怕只剩两三颗歪歪扭扭的残根,也能靠卡环"借力打力"。
但问题也来了。张阿姨头一次戴活动义齿时,总觉得嘴里像塞了个塑料托盘,说话"呼呼漏风"。更尴尬的是啃玉米时,义齿突然"哐当"掉进碗里,全桌人都盯着看。这就是卡环固位的软肋:咬硬东西时,卡环容易松动,尤其后牙区受力大时,义齿就像坐跷跷板。
吸附性义齿走的则是"温柔路线"。它用医用硅胶做内层,像章鱼吸盘似的紧贴牙龈,靠唾液形成的负压固定。李叔叔换了吸附性义齿后,得意的就是吃面条不再"吸溜吸溜"漏汤了——基托边缘圆润,完全贴合牙床,连韭菜叶都卡不住。
不过这"温柔"也有代价。王奶奶的吸附性义齿用了三年后,发现咬排骨时义齿会微微晃动。医生检查说牙槽骨萎缩了,吸附力下降,得加垫片调整。这就像手机壳用久了变松,得换个新的贴合层。

说到吃饭,活动义齿肯定是个"硬核选手"。它的金属支架和硬质基托能承受更大咬合力,啃甘蔗、嗑瓜子都不在话下。刘大爷的活动义齿用了五年,照样能用后牙嚼碎花生米,秘诀就是定期找医生调咬合——就像给菜刀磨刃,始终保持锋利度。
但吸附性义齿在这方面确实"温柔"过头了。它更适合吃蒸蛋、豆腐脑这类软食,咬苹果时得切成小块慢慢嚼。有位患者吐槽:"戴吸附性义齿吃火锅,毛肚得撕成指甲盖大小,不然一咬就滑。"不过新技术也在改进,现在有些高端吸附性义齿加了弹性缓冲层,啃煮烂的排骨没问题,但离"嘎嘣脆"还有段距离。
这里要划个重点:咀嚼效率差一半不是夸张。实测数据显示,活动义齿的咀嚼效率能达到真牙的60%-70%,而吸附性义齿大概在40%-50%。这就像电动车和燃油车的区别——前者能飙到120码,后者稳在80码更省电。

活动义齿的"金属感"让很多人又爱又恨。初戴时像嘴里含了块塑料板,说话大舌头,吃辣还容易刺激牙龈。但用久了肌肉会"记住"义齿的位置,慢慢就适应了。有位患者形象比喻:"就像穿新鞋磨脚,熬过那两周就舒服了。"
吸附性义齿在这方面确实更"懂人心"。它的软质内层像第二层皮肤,有个患者说:"头一次戴就像给牙床做了个SPA,完全没异物感。"不过太软的材质也有缺点——有位阿姨的义齿被孙子用玩具枪打中,基托居然裂开了,气得她直说:"这假牙比鸡蛋壳还脆!"
到底选哪个?看这3个关键指标
缺牙数量:缺1-3颗牙选活动义齿,全口缺牙可考虑吸附性义齿
牙槽骨条件:牙槽骨严峻萎缩的,吸附性义齿更贴合
饮食习惯:无肉不欢的选活动义齿,爱吃流食的吸附性义齿够用
不过决策前,一定要找专科医生做"假牙试戴"。就像试穿婚纱,光看照片不行,得上身走两步才知道合不合身。有位患者贪便宜在小诊所做了劣质吸附性义齿,结果基托材料过敏,牙龈肿得像馒头,然后还是得拆了重做。

养护秘籍:让假牙多用三五年
不管选哪种,养护都是关键。活动义齿要每天用假牙清洁片泡洗,避免用热水导致变形;吸附性义齿得定期检查吸附力,发现松动及时调整。有位患者总结得妙:"对待假牙要像养宠物,得精心伺候着。"
现在回头看张阿姨的困惑就明白了:她选的吸附性义齿本身没问题,但用啃苹果来考验它,就像让芭蕾舞演员去举重,肯定吃不消啊!其实只要选对类型、用对方法,不管是活动义齿还是吸附性义齿,都能让咱们重新"吃嘛嘛香"。

下次再看到有人戴着假牙啃排骨,别急着羡慕——先问问他戴的是哪种假牙,说不定人家正咬牙忍着疼呢!毕竟,适合自己的,才是更好的。