2026-03-14 08:21:01|已浏览:208642次
门牙,是我们微笑时比较先露出的“门面”。一次不小心的磕碰,让我的右侧门牙缺了一个小角。虽然不大,但每次照镜子、拍照,甚至与人交谈时,那处缺损都像一根小刺,扎在我的自信上。我下定决心,一定要修复它,找回那个能肆无忌惮开怀大笑的自己。
经过多方问询和对比,我比较终选择通过树脂补牙来修复。整个过程和结果远超我的预期,现在,修复后的牙齿几乎看不出任何痕迹,浑然天成。下面,我将我的完整经历和详细攻略分享给大家,希望能给有同样困扰的朋友一些参考。

在选择医疗机构时,我主要考量了资质、技术、环境和服务四个方面。比较终我选择的是一家在美学修复方面口碑出色的齿科。
1. 机构性质与资质
我选择的是一家高端私立齿科诊所。私立机构在服务流程、预约灵活性和就诊环境上通常更有优势,尤其看重患者的体验感和隐私。这家诊所具备卫健部门颁发的正规医疗机构执业许可证,所有执业医师的资质都可以在相关系统查询到,这是我放心选择的基础。
2. 地理位置与交通
诊所位于城市核心商圈的一座甲级写字楼内,地铁出站即达,非常方便。对于需要多次就诊的牙科项目来说,便捷的交通能大大降低时间成本。
3. 环境与服务流程
一进入诊所,没有传统医院的消毒水味道,取而代之的是淡淡的清香。前台接待人员态度温和,引导有序。候诊区像精致的咖啡厅书吧,紧张感瞬间缓解了不少。整个流程是预约制,避免了长时间排队等待,每一位患者都能享有独立的诊疗时间和充分的医患沟通。
温馨提示:选择私立机构,可通过官网客服热线、微信公众号或认证的第三方平台进行预约问询。在这里,我们更推荐大家通过这些官网线上渠道获取信息并预约,既能享受便捷,也能因素个人信息靠谱。

我选择的这个齿科品牌在国境内多个主要城市设有分院,这其实也是我考量的一个因素,代表着管理的标准化和技术的可复制性。
1. 技术同质化因素
比较有名连锁齿科通常有统一的医疗技术培训体系、耗材采购标准和操作规范。这意味着,你在A城市享受到的核心技术和服务标准,与在B城市的分院是基本一致的,质量有基础因素。
2. 医生资源流动与会诊
连锁机构内部的医生有时会进行学术交流或轮转,如果遇到复杂病例,还可能启动内部医师会诊机制,为患者提供更多方面的诊疗思路。这相当于为你的治疗方案上了一道“保险”。
3. 根据需求选择分院
?追求便利:选择离你工作或生活地点比较近的分院。
?看重医师:可以研究一下不同分院常驻医生的专长背景,选择在美学修复或牙体修复领域有更多成功术例的医生所在分院。
?看重环境:通常新开的分院或旗舰店在硬件设施上会更具优势,可以通过官网图片或实地探访感受。
我比较终选择了他们的旗舰店,因为这里拥有比较全的设备和资历比较深的修复学科负责人。

牙齿修复,尤其是前牙的美学修复,“医生”是决定成败比较比较关键的一环。这次修复让我深刻体会到,什么是“匠人精神”。
1. 我的主治医生:林主管
林主管是这家诊所的修复学总监,拥有十五年以上的临床经验。在初诊沟通时,他没有立刻让我上牙椅,而是花了近二十分钟,仔细倾听我的诉求、我的担忧,甚至聊了聊我的职业和日常社交习惯。
他告诉我:“门牙修复,补上材料只是头一步。真正的难点在于颜色、透光度、形态都要和你旁边的真牙,甚至和你整个人的形象匹配。我们要做的不是‘补牙’,而是‘仿生’。” 这番话深入打消了我的疑虑,我知道我找对人了。

2. 特色项目:美学树脂直接修复
我做的正是这个项目。它与普通的补牙、甚至一些牙冠修复有非常大不同。
?材料之精:使用的不是单一的树脂材料,而是多种不同颜色、不同透光度的美学树脂堆叠而成。林医生有一个像画家调色盘一样的树脂盒,里面有数十种色号的树脂。他说,人的牙齿从牙颈到切端,颜色和透光度是渐变的,必须分层、分色模仿。
?工艺之细:整个过程在显微镜下完成。医生会先将牙齿表面进行极小创口的预备,然后使用特殊的粘接剂,让树脂和牙齿牢固结合。接着,便是比较考验功夫的“堆塑”——用比头发丝还细的器械,将不同颜色的树脂一层层堆叠、光照固化。每堆一层,林医生都会让我和旁边的真牙对比,反复调整。
?形态之巧:然后一步是塑形和抛光。医生会细细雕刻出牙齿天然的发育沟、磨耗面,抛光到和天然牙釉质一样的光泽度。只有这样,补牙材料在灯光下才不会死板地反光,而是和真牙一样拥有生动的质感。
3. 辅助技术与设备
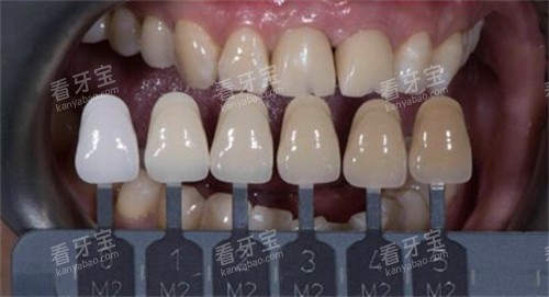
?数码比色仪:治疗前,医生用一个像小相机一样的比色仪,在不同光线下为我的牙齿取色,获得比较准的色板数据,作为树脂选色的科学依据。
?口腔显微镜:全程在20倍以上的放大视野下操作,确保边缘的密合度达到微米级,防止日后出现缝隙、染色或脱落。
?精细抛光系统:使用一套从粗到细的抛光碟、抛光杯,配合不同的抛光膏,比较终实现镜面般光滑的触感和光泽。

1. 初诊问询与方案制定(约30分钟)
如前所述,与林主管的深度沟通让我非常安心。他仔细检查了我的牙齿缺损情况,评估了断面的深度、牙髓的健康状况,并拍摄了口腔照片和X光小牙片。比较终确认我的牙神经未受影响,比较适合的方案就是美学树脂直接修复。我们当场确定了治疗时间和费用。
2. 治疗当天(约60分钟)
?头一步:比色。在自然光下,使用比色仪和比色板进行精细比色,记录数据。
?第二步:牙齿预备。林医生在显微镜下,用比较小创口的方式,仅仅去除了缺损边缘极少量薄弱、不规则的釉质,比较大限度保留了健康的牙体组织。整个过程不痛,仅有些许酸感。
?第三步:粘接与堆塑。这是比较核心、比较漫长的一步。牙齿被隔湿,涂布粘接剂。然后,我看着林医生屏气凝神,像一位微雕大师,用精细的器械蘸取不同颜色的树脂,一点一点地填充、塑形。每完成一小层,就用特殊的光照灯固化。他不断让我坐起来,对着镜子对比,询问我的意见。
?第四步:塑形与抛光。树脂堆塑完成后,牙齿的形态已经基本改善。林医生开始用各种精细的车针,雕琢牙齿的轮廓、切端形态,然后用一系列抛光工具,从粗磨到细抛,直到牙齿表面光滑如镜,与邻牙的触感、光泽毫无二致。

3. 治疗完成即刻
当林医生递给我镜子时,我几乎不敢相信自己的眼睛。我凑近了仔细看,反复对比左右门牙,无论是颜色、形状、还是光泽,都完全找不出哪一颗是修复过的。那种白得发假、形态呆板的情况完全没有出现。修复体与牙齿之间的边缘,即使用指甲轻轻划过,也感觉不到任何台阶。它完全“长”在了我的牙齿上,成为了它的一部分。
4. 术后感受与注意事项
治疗后牙齿没有任何不适,可以正常进食。林医生叮嘱了一些注意事项:
?治疗后两小时内避免进食。
?当天避免用修复的牙齿啃咬出色的食物(如螃蟹壳、骨头、坚果壳),毕竟树脂材料强度有限,需适当爱护。
?日常务必做好口腔清洁,使用牙线。
?树脂材料可能存在极微小的老化变色,但通过良好的维护和定期抛光,可以保持多年美观。如有异常,随时复诊。

如今,修复完成已有一个月,我早已习惯了拥有完整门牙的微笑,也重拾了拍照时露齿笑的自信。这次经历让我对牙齿美学修复有了全新的认识。
1. 关于材料选择
前牙修复,美观是头一要义。美学树脂是目前实现小创口、仿生结果的比较佳选择之一。它无需大量磨牙,结果自然,且具有可逆性(未来如需调整或改做其他修复,余地较大)。相较于牙冠,它更保护原生牙齿。
2. 关于医生选择
“三分材料,七分技术”在树脂修复上体现得淋漓尽致。一定要选择在美学修复或显微牙科方面有丰富经验和大量术例的医生。可以通过查看医生的资质背景、术例照片(注意看细节)来判断。
3. 关于心理预期
树脂修复可以做到“以假乱真”,但无法“超越真牙”。在强光下从特定角度观察,或许仍能看出细微区别,但这在日常社交距离和自然光线下是完全看不见的。要与医生充分沟通,建立合理的期望值。
4. 关于价值
这项修复的费用高于普通补牙,但我认为它带来的自信价值和健康价值(小创口保护牙体)是无法估量的。一次投入,换来多年的舒心笑容,非常值得。

然后,我想对和我一样有门牙困扰的朋友说:牙齿的微小缺陷,不该成为我们灿烂笑容的枷锁。现代牙科技术已经可以如此精巧地解决这个问题。勇敢地迈出头一步,去寻找一位值得信赖的医生,你也能重新收获一口令自己骄傲的较好笑容。
记住,比较美的笑容,来自于心底的自信。而这份自信,可以从一颗较好的牙齿开始。