2026-03-29 08:00:01|已浏览:230156次
骨性扩弓周期通常为2周至3个月,具体因年龄、骨骼状态而异。每天加力2-3次、1.5个月扩出6mm属有效病例,需严格遵循医生指导。扩弓结果受骨骼愈合能力、加力频率、矫治器类型影响,需结合CBCT检查评估。

“我这嘴凸得像松鼠囤粮,侧脸根本没法看!”28岁的北京白领李然对着镜子叹气,她因上颌骨狭窄导致牙齿拥挤,连笑都要捂嘴。像她这样的成年人,骨性扩弓成了“救命稻草”——不用拔牙,就能把牙弓“地基”拓宽,让牙齿“排排站好”。
但问题来了:骨性扩弓到底要多久?每天加力几次才靠谱?1.5个月扩出6mm是神话还是现实?今天咱们就掰开揉碎,把这事儿唠明白!

“同样是扩弓,有人2周搞定,有人得熬3个月?”这背后的关键,是年龄和骨骼状态!
1. 替牙期小孩:骨骼像“嫩豆腐”,扩弓快得像变魔术
8-14岁的孩子,上颌骨缝还没闭合,用螺旋扩弓器每天转0.5-1mm,2-3周就能打开中缝,新骨“蹭蹭”往缝里长。北京协和医院口腔科的陈琳医生曾接诊一个14岁男孩,上颌骨窄了8mm,用骨性扩弓配合支抗钉,6个月牙弓宽了12mm,侧脸从“猿人”变“侧颜杀”!
2. 成年人:骨骼硬得像“老树根”,扩弓得“慢工出细活”
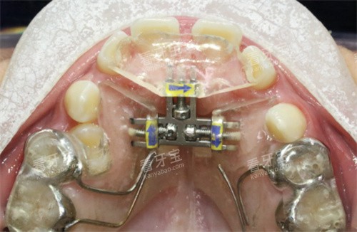
18岁后,骨缝基本闭合,扩弓得靠微种植支抗钉“硬撬”。首都医学大学附属北京口腔医院的贾海潮医生指出,成人扩弓常用MARPE技术(智能化骨性扩弓器),每天加力2-3次,每次转0.2-0.3mm,1.5个月扩出6mm是可能的,但前提是骨骼条件好、医生操作精细。
3. 特殊情况:骨缝成熟度越高,扩弓越难
甘肃省人民医院的郑元起华医生分享过一个20岁男生的病例:他腭中缝成熟度达D-E期(接近闭合),用MARPE扩弓器,每天促活2次(360°),25天扩出6.5mm间隙,但后续保持了10个月才拆装置。这说明啥?骨骼越“老”,扩弓越要“温柔”,否则容易反弹!

“每天转2-3次,1.5个月扩6mm?这医生是‘狠人’啊!”网友小王看完病例直呼惊讶。但真相是:加力频率和速度,得看骨骼的“承受力”!
1. 快速扩弓:每天转1mm,适合“软骨头”小孩
替牙期孩子骨骼软,每天转0.5-1mm,2-3周就能打开中缝。但成人若盲目追求速度,可能导致骨缝裂开、牙齿松动,甚至引发感染——这可不是闹着玩的!
2. 慢速扩弓:每周转1mm,适合“硬骨头”成人
成人扩弓常用“细水长流”法:每周转1mm,2-3个月扩出10mm间隙。贾海潮医生强调:“成人扩弓就像‘拆墙建房’,得先拆掉旧结构(骨缝),再等新骨长好,急不得!”
3. 智能化MARPE:精细控制,成人扩弓的“黑科技”
郑元起华医生的病例里,用的就是智能化MARPE扩弓器。它通过3D打印定制,能精细贴合腭黏膜,每天促活2次(每次0.2-0.3mm),1.5个月扩出6mm是可行的。但前提是:医生得根据CBCT检查,评估骨骼厚度和密度,否则可能“撬不动”!

“为啥别人扩弓结果那么好,我的却‘缩回去’了?”问题可能出在以下环节:
1. 骨骼愈合期“偷懒”:保持时间不够
扩弓后,新骨需要3-6个月才能稳定。若提前拆装置,就像“房子没盖好就拆脚手架”,肯定会塌!郑元起华医生的病例里,患者保持了10个月,结果才稳定。
2. 加力“用力过猛”:牙齿松动找上门
有网友反馈:“扩弓头一天,牙齿酸得像吃了10个柠檬!”这其实是正常反应,但若疼痛持续加重,可能是加力太猛。贾海潮医生提醒:“成人扩弓每天总转量别超过0.8mm,否则牙齿可能‘离家出走’!”
3. 医生“手生”:方案不适合你
骨性扩弓是“高难度动作”,必须找正畸专科医生!有患者被忽悠做了骨性扩弓,结果骨头撑开了,牙齿却没排齐,说话都漏风——这钱花得比“买电动车”还冤!

“扩弓器是‘金子做的’吗?为啥价格差这么多?”2026年市场价显示,骨性扩弓费用主要看“技术含量”:
1. 基础款:12000元起步
适合轻度骨性狭窄,用传统Hyrax扩弓器,每周转1mm,2-3个月完成。
2. 智能化MARPE:18000-25000元起
适合成人复杂病例,3D打印定制,每天可促活2次,1.5个月扩6mm。郑元起华医生的病例用的就是这款,结果稳但价格高。
3. 附加费:CBCT检查、保持器另算
扩弓前得拍CBCT(300-500元起),扩弓后得戴保持器(1000-2000元起),这些都得额外花钱。

“以前侧脸像‘鞋拔子’,扩弓后朋友说我像‘混血儿’!”上海的林女士做完骨性扩弓,逢人就安利。但也有网友吐槽:“扩弓后说话像‘大舌头’,吃了2个月流食!”——看来,美丽真的要“付出代价”!

-你的扩弓经历是“爽文”还是“血泪史”?
“扩弓时牙齿酸到想哭?"1.5个月扩6mm,你羡慕吗?"选医生时踩过哪些坑?”快来评论区唠唠!说不定你的经验,能帮下一个“嘴凸星人”少走弯路呢~