> 重庆口腔资讯
2026-01-25 08:10:01点击量:26812
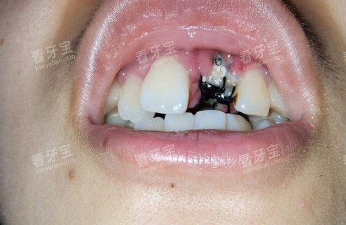
种植牙在完成骨整合并佩戴牙冠后,很多患者会发现虽然牙齿“种”上了,但形态却显得生硬、色泽呆板,甚至与邻牙显得格格不入。这种“形态不自然”的情况,不仅影响美观,还可能导致咬合不适或食物嵌塞。事实上,种植...

2026-01-25 08:09:01点击量:26815
2026周至县牙科医院价格表公布!随着健康意识的提升,牙齿问题已成为周至县居民关注的焦点。步入2026年,得益于口腔耗材地区集采政策的深化实施,以及医疗技术的迭代更新,周至县的牙科市场呈现出“质升价稳”的新局...

2026-01-25 08:08:01点击量:26818
2026年成都新桥口腔的收费体系已全方面更新,涵盖种植牙、正畸、基础治疗、美白修复及儿童口腔等全品类项目,所有价格公开透明且无隐形消费。本文整合院内全新收费标准,为成都市民提供精又准参考,帮大家在看牙前理...

2026-01-25 08:07:02点击量:26823
青岛维乐口腔医院作为当地老牌的口腔医疗机构,凭借其正规资质、连锁规模及特色技术,在种植牙和隐形矫正领域积累了良好口碑。本文将从医院资质、技术优势、收费标准及患者评价四个维度,为您多方面解析这家口腔医院...

2026-01-25 08:06:01点击量:26824
朋友们,是不是一提到看牙就头疼?不光怕那种酸爽的感觉,更怕钱包大出血!今天咱们就来聊聊湖州英博口腔的价格,一次性把种植牙、矫正、补牙这些常见项目的收费情况给大家摸个底朝天。毕竟看牙是大事,提前了解价格...

2026-01-25 08:05:01点击量:26825
一、医院基本信息广州番禺陈水玲口腔诊所坐落于繁华的广州市番禺区洛浦街洛溪新城吉祥北园如意三马路3幢3号,地理位置优越,交通便利,周边公交站点密集,方便患者前来就诊。诊所成立于2018年11月,是经广州市番禺区...

2026-01-25 08:04:01点击量:26825
一、口碑实力大比拼江油英博口腔:连锁品牌的技术标杆作为咿呀英博集团旗下的大型连锁牙科医院,江油英博口腔在江油地区的口碑可谓有口皆碑。这家医院比较大的优势在于集团化运营带来的技术稳定性。集团在国内拥有5家...

2026-01-25 08:03:02点击量:26827
银川牙博士口腔宁安宜居店:环境、医生、技术、价格全解析医院基本信息银川牙博士口腔宁安宜居店位于金凤区五里台路28号(宁安宜居3#楼商铺),是牙博士口腔在银川开设的连锁分店之一。该店成立于2024年,虽然面积只...

2026-01-25 08:02:01点击量:26828
亲爱的读者朋友们,你是否曾经在深夜被牙痛折磨得辗转反侧?是否因为工作繁忙而一次次推迟看牙医的时间?是否对口腔问题感到困惑却不知道如何寻求可靠帮助?别担心,现在有了24小时在线牙科免费问诊服务,让口腔健康...

2026-01-25 08:01:01点击量:26832
"牙疼不是病,疼起来真要命!"在顺义生活的小伙伴们,是不是总为找一家靠谱的牙科医院发愁?别急!今天我们就来盘点顺义区口碑好、技术硬、服务贴心的6家牙科医院,从连锁老牌品牌到特色专科,帮你轻松锁定适合自己的...

2026-01-25 08:00:01点击量:26832
“大连银儿,你还在为看牙跑断腿、花冤枉钱发愁吗?”家住甘井子区的李阿姨近期逢人就念叨,“我前阵子种了颗牙,本以为得花上万块,结果在九诺口腔只花了2580元起,现在啃排骨比年轻时还利索!”这话一出,周边邻居...

2026-01-24 08:18:01点击量:30038
嘿,开封的朋友们!在咱这儿,口腔健康可是大事儿。要是牙齿出了问题,那吃饭不香、说话不利索,整个人都不得劲儿。今天就给大家好好唠唠开封优博雅口腔的2026价格表,这可是很多人都关心的事儿。优博雅口腔在开封那...

2026-01-24 08:17:01点击量:30035
嘿,在东莞的朋友们注意啦!要是您正愁着不知道上哪儿看牙,也不清楚看牙得花多少钱,那今儿这篇文章您可就来对地方了。东莞雅仕康口腔那在当地可是相当有口碑的口腔机构,口碑一直都杠杠滴,不少人都冲着它家去看牙...

2026-01-24 08:16:01点击量:30043
家里孩子牙齿不齐、爱用口呼吸?不少南宁家长都在为儿童牙齿矫正的事操心,既担心结果又纠结费用。今天就把南宁热门的儿童早矫方式、具体花费说透,帮家长们清晰避坑、理性选择。一、先搞懂:儿童早矫不是“等换牙完...

2026-01-24 08:15:01点击量:30046
深夜被牙痛“突袭”?智齿发炎肿得像包子?牙龈肿痛连喝水都疼?别慌!西安的24小时牙科急诊服务能为你快速“救场”。无论是突发剧烈牙痛、智齿“作妖”,还是牙龈肿痛难忍,这份攻略指南将帮你比较准定位解决方案,...