> 防城港口腔资讯
2025-11-20 08:04:02点击量:48
一、武汉乐的口腔简介:专业口腔连锁品牌武汉乐的口腔是一家专注于口腔健康管理的正规连锁机构,成立于2015年,经过多年发展已在武汉开设多家分院。作为武汉本土成长起来的口腔品牌,乐的口腔以"正规、舒适、便捷"为...

2025-11-20 08:03:01点击量:48
在临汾市尧都区平阳南街88号二层,一家名为“美瑞臣口腔”的医疗机构凭借扎实的医疗实力与细致入微的服务,逐渐成为当地居民解决口腔问题的首要选择。从患者分享的真实就诊经历中,我们得以窥见这家机构口碑背后的服...

2025-11-20 08:02:01点击量:48
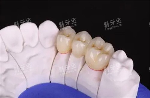
"医生,我后牙缺了一块,听说纯钛牙冠便宜又结实?""可朋友说全瓷牙更自然,就是贵点……"诊室里,28岁的程序员小李攥着检查单,眉头皱得能夹住笔——这场景是不是像极了纠结外卖是选15元起套餐还是30元起轻食的你?...
.jpg)
2025-11-20 08:01:01点击量:48
“北海海豚口腔到底怎么样?”作为扎根北海的本土连锁口腔品牌,海豚口腔以“正规资质+数智化技术+透明收费”为核心差异化优势,成为北海卫健委官网可查的正规医疗机构。其1200㎡的就诊空间配备专属停车场,3D种植导...

2025-11-20 08:00:01点击量:48
"进贤县牙科医院收费涵盖多类项目:种植牙方面,国产种植牙4280元起,瑞士ITI种植牙12800元起;牙齿矫正中,传统金属托槽矫正8900元起,隐适美隐形矫正39800元起;牙周治疗里,基础洁牙198元起,重度牙周炎翻瓣术480...

2025-11-19 18:53:01点击量:6179
在牙齿缺失的修复方式中,种植牙凭借其美观、舒适、耐用等特点,成为了众多患者的首要选择。上海迈维口腔在种植牙领域备受关注,特别是有15年以上经验的院长亲诊,让不少人对其种植牙服务充满期待。下面我们就从多个...

2025-11-19 14:24:33点击量:6629
在沙坪坝区,牙齿健康问题日益受到大家的关注,无论是孩子的牙齿护理,还是成年人的口腔治疗,都需要可靠靠谱的牙科医院。下面就为大家介绍沙坪坝区几家值得信赖的牙科医院。多乐儿童齿科:专注少儿护牙的童趣天地重...

2025-11-19 14:09:34点击量:6651
“缺牙十年不敢笑,一朝种牙重拾自信!”在昭通,越来越多的缺牙患者通过种植牙技术找回了咀嚼的快乐和灿烂的笑容。2026年的昭通口腔医疗市场,价格更透明、技术更较高,尤其是西南博大口腔医院推出的奥齿泰种植牙39...

2025-11-19 13:56:57点击量:6667
在重庆江北,拥有一口健康的牙齿是许多人的追求,而选择一家靠谱的口腔医院至关重要。以下为大家推荐五家重庆江北靠谱的口腔医院,它们凭借正规的技术、优质的服务,让看牙变得让人放心。重庆重生口腔:正规与创新的...

2025-11-19 13:21:49点击量:6705
在宜昌,提起口腔医院,不少人都会提到中南口腔,也有人好奇它和中汉口腔是不是同一家。其实,中南口腔隶属于中汉口腔医疗集团,是宜昌本地颇具口碑的口腔连锁品牌。今天咱们就来聊聊它的2026年价格表、整牙水平以及...
2025-11-19 08:18:01点击量:7123
医院概况与就诊体验在临淄区寻找一家靠谱的口腔诊所并非易事,奥美口腔作为当地较为出名的口腔医疗机构,近年来逐渐积累了不少人气。走进这家诊所,首先感受到的是整洁明亮的就诊环境,候诊区摆放着舒适的座椅和简单...

2025-11-19 08:17:01点击量:7123
地包天,医学上称为"反颌",是儿童牙齿发育过程中常见的一种错颌畸形。当家长发现孩子出现"地包天"症状时,往往会陷入焦虑和困惑——到底该选择哪种矫正方式?法兰克3矫治器是否真的有效?本文将为您多方面解析骨性地...

2025-11-19 08:16:02点击量:7123
永丰口腔基本信息位于泰兴市中心的永丰口腔,是当地居民看牙的热门选择。这家诊所虽然规模不算大,但环境整洁,设备齐全,医生团队经验充足,多年来积累了不少忠实顾客。诊所采用预约制,避免了长时间排队等候的烦恼...

2025-11-19 08:15:01点击量:7127
本文将带您深入了解楚雄博德口腔医院的各项服务内容,从基础治疗到复杂种植,从儿童护理到成人矫正,为您呈现一份详实的就诊指南。我们不仅整理了比较新的价目信息,还采访了三位不同治疗项目的患者,记录他们的真实...

2025-11-19 08:14:01点击量:7129
我的智齿噩梦开始那是一个普通的周末早晨,我像往常一样刷牙时,突然感觉右后方的牙齿一阵刺痛。我赶紧对着镜子张大嘴,用手指轻轻触碰那个位置,果然摸到了一个明显的凹陷。我的心一下子沉了下去——我的智齿烂了个...