> 武汉口腔资讯
2026-03-30 08:02:01点击量:4538
嘿,亲爱的读者!如果你正好在青岛,或者计划2026年在这里做种植牙,那今天可来对地方了。种植牙这事儿,说大不大,说小不小,但价格和方案总是让人头大——单颗多少钱?半口、全口又怎么算?国产和进口品牌有啥区别...
2026-03-30 08:01:01点击量:4541
在南昌高校圈里流传着这样一句话:"想变漂亮,先整牙;要整牙,去同济。"作为南昌地区更具口碑的口腔医疗机构之一,南昌同济医院口腔科凭借其可靠的正畸技术和亲民的价格,成为了大学生群体矫正牙齿的首要选择地。本...

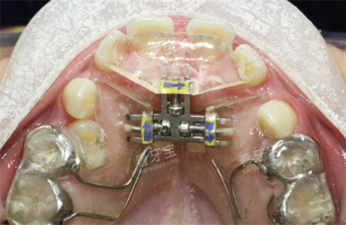
2026-03-30 08:00:01点击量:4541
MSE扩弓器突破传统年龄限制,8-54岁均可使用,尤其适合成人骨性扩弓!通过4颗微种植钉精细施力,扩弓效率提升3倍,腭中缝平行扩展率超90%,解决牙弓狭窄、反颌、气道阻塞等问题,术后稳定性强,堪称“成年人的扩弓救...

2026-03-29 08:33:01点击量:7921
在石家庄裕华区建设南大街沿线上,一家名为“齿度”的口腔机构悄然服务着周边居民。对于不少朋友来说,看牙是件需要仔细考量的事——既要考虑地理位置是否便利,也会琢磨那里的氛围是否放松,更关心能否把牙齿的问题...

2026-03-29 08:32:01点击量:7923
走在沧州的街上,阳光正好。忽然看到“好牙口腔”的招牌,心里一动——较近老家亲戚总在电话里念叨,说想种牙,又担心这担心那,不知该选哪里。这不,正好遇上了。今天,咱们就以一位普通访客的视角,走进这家本地的...

2026-03-29 08:31:01点击量:7925
总听身边的同事和朋友聊起牙齿健康的事。不是谁去做了牙齿矫正,就是谁家老人终于下决心去种了牙。聊来聊去,一个名字出现的频率挺高——博一善口腔。它不在那些熙熙攘攘的主干道上,而是坐落在一个生活气息很浓的街...

2026-03-29 08:30:01点击量:7927
在张家口的街头巷尾,当人们聊起看牙的那些事,有一个名字时不时会被提起——张家口奥立口腔医院连锁。不少朋友心里可能嘀咕过:“这家医院到底正规吗?种牙、矫正靠不靠谱?收费会不会有猫腻?口碑真的像传的那么好...

2026-03-29 08:29:01点击量:7927
生活在任丘,或是刚好在任丘有看牙需求的朋友,可能多多少少都听过“萱芽口腔”这个名字。它在街坊邻里的谈话里,在网络本地社群的讨论中,似乎有着不低的出镜率。一个口腔门诊能积累起一定的有名,大家心里头较先冒...

2026-03-29 08:28:01点击量:7932
在任丘的中华路街道,说起看牙这件事,不少街坊邻居都会提到一个名字——仁安口腔。它不像一些连锁机构那样声势浩大,却稳稳地扎根在社区之中,像一位熟悉的老朋友,用经年累月的踏实与用心,赢得了大家的信赖。今天...
2026-03-29 08:27:02点击量:7935
生活在隆尧,尤其是北环金水湾附近的朋友,如果想看牙,或许会注意到这家“益口佳口腔”。招牌不算特别显眼,但来来往往的人却不少。我们常常听到“牙疼不是病,疼起来真要命”,也明白一口好牙对生活的重要性。所以...

2026-03-29 08:26:01点击量:7933
在定兴县,提起看牙齿,不少街坊邻居可能会想到“祖氏口腔”这个名字。它静静地开在县城里有些年头了,对于很多本地居民来说,算不上陌生。无论是偶尔路过的瞥见,还是亲友间的闲聊提及,当自己的牙齿真的开始“闹情...

2026-03-29 08:25:01点击量:7934
开年之后,不少保定朋友把看牙提上了日程。尤其是牙齿缺失想种牙,或者牙齿不齐想矫正的,心里都揣着几个问题:现在技术咋样了?得花多少钱?哪家医院比较让人放心?其中,“保定大麦口腔医院”这个名字被提起的频率...

2026-03-29 08:24:01点击量:7935
柳州的春天,紫荆花快要开了。弯塘路、水南路边的老树抽着新芽,很多柳州人在茶余饭后,除了聊聊哪家的螺蛳粉酸笋够味儿,也开始关心起一家老小的牙齿问题。比较近,不少邻居、朋友都在打听:“柳州德立口腔到底怎么...

2026-03-29 08:23:01点击量:7923
广州暨南雅皓口腔作为一家正规牙科机构,凭借正规的医疗团队和可靠的设备,为患者提供多样化的口腔诊疗服务。其价格表涵盖多个热门项目,包含:种植牙2100元起、牙齿矫正5000元起、全瓷牙1200元起。本文将详细介绍该...

2026-03-29 08:22:01点击量:7924
家人们,前些天我终于把拖了好几年的种植牙给做了!整个过程下来,比较大的感触就是:选对一家正规靠谱的口腔医院,真的能省心一大半。今天就来好好唠唠我比较终选择的这家——上海慧丽口腔,看看它到底是不是像网上...