2026-01-26 08:02:01|已浏览:23607次

植诺口腔门诊部成立于2019年5月,是经包头市青山区卫健委核准成立的正规口腔医疗机构,位于包头市青山区赛音道与繁荣道交叉路口西侧50米路北,诊疗面积约300㎡。作为一家集口腔医疗和口腔保健为一体的正规性牙科疾病防治医疗结构,植诺口腔虽然规模不算特别大,但凭借其娴熟的技术和贴心的服务,在包头当地赢得了良好的口碑。
门诊部采用"技术革新、顾客为主"的服务理念,将娴熟的齿科技术与家庭般温馨的服务相结合,为顾客提供"量身定制"的综合治疗。诊疗环境舒适私密,候诊区域幽雅闲适,还提供免费的咖啡和茶水服务,让患者在就诊过程中感受到家一般的温馨。

植诺口腔目前为单店经营模式,并未开设连锁分店。虽然相比一些大型连锁口腔机构,植诺口腔在规模上可能不占优势,但这种单店经营模式反而能够确保医疗质量和服务品质的统一性。孙道才医生作为门诊部的发起人,能够亲自参与每一位患者的诊疗过程,确保治疗方案的正规性和个性化。
对于包头地区的患者来说,虽然植诺口腔没有连锁分店,但其地理位置便利,位于青山区繁华地段,交通便捷,周边配套设施完善,方便患者就诊。

核心医生介绍
孙道才医生是植诺口腔门诊部的发起人和核心医生,拥有近20年的口腔临床经验。他毕业于解放军第四军医大学口腔医学系,获得博士学位,原为解放军第291医院口腔科主管、主治医师。孙医生在自治区内优先开展TPP技术,成功完成All-on-4和All-on-6手术三十余例,对糖尿病患者的牙齿种植有深入研究,并在国内外口腔医学杂志发表多篇论文,其中2篇被SCI收录。
从军队转业后,孙医生秉承"技术革新、患者为上"的服务理念,以满腔热忱服务于民。他不仅技术娴熟,更看重与患者的沟通,能够根据每位患者的具体情况制定个性化的治疗方案,深受患者信赖和好评。
其他医疗团队成员
除了孙道才医生外,植诺口腔还拥有其他经验充足的医生团队。虽然具体医生人数不多,但每位医生都具备扎实的正规知识和丰富的临床经验,能够为患者提供正规的口腔诊疗服务。门诊部对医疗质量进行严格监控,确保每位患者都能获得安心、有效的治疗。

特色诊疗项目
植诺口腔开展的口腔医疗服务项目齐全,主要包括:
1. 牙齿种植
?单颗种植、多颗种植、半口种植、全口种植
?采用德国ICX、韩国登腾、美国皓圣等国内外老牌种植系统
?开展All-on-4、All-on-6等复杂种植技术
?对糖尿病患者的牙齿种植有深入研究
2. 牙齿矫正
?金属托槽矫正、自锁托槽矫正
?陶瓷矫正、隐形矫正、舌侧矫正
?儿童早期干预治疗
?地包天矫正

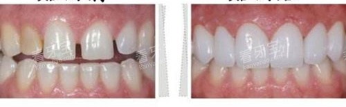
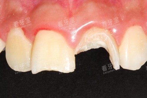
3. 牙齿修复
?烤瓷牙、全瓷牙、贴面修复
?根管治疗、牙周病治疗
?牙齿美白、冷光美白
?儿童口腔预防保健
4. 其他项目
?超声波洁牙、喷砂洗牙
?拔牙、补牙
?牙周炎治疗
?窝沟封闭

植诺口腔的收费标准相对合理,具体价格因治疗项目和材料选择而有所不同:
种植牙价格
?韩国登腾种植牙单颗:7500元起
?美国皓圣种植牙单颗:9500元起
?德国ICX种植牙单颗:10000元起
?以色列雅定adin种植体:10800元起
?瑞典诺贝尔cc种植系统:12000元起
牙齿矫正价格
?金属自锁托槽矫正:16000元起
?国产时代天使隐形矫正:30000元起
?进口隐适美隐形矫正:40000元起
?舌侧矫正:30582-79927元

牙齿修复价格
?超声波洁牙:75元起
?3M树脂补牙单颗:180元起
?根管治疗单颗:360元起
?钴铬金属烤瓷牙单颗:700元起
?二氧化锆全瓷牙单颗:1800元起
?超薄瓷贴面单颗:2300元起
?冷光美白全口:1500元起
其他项目价格
?智齿拔除:200元起
?儿童窝沟封闭单颗:80元起
?牙周病治疗:999元起
?牙齿美白家庭套装:900元起
温馨提示:以上价格仅供参考,具体费用会根据患者的口腔状况、治疗方案和材料选择而有所差异,建议到院面诊后获取较准的报价。

新型医疗设备
植诺口腔门诊部引进了国内外新型的智能化口腔诊疗设备,确保诊疗过程的精密性和安心性:
?智能化牙科治疗台:采用新型的智能化技术,提高诊疗效率和舒适度
?三星瑞丽大视野口腔CT:提供高精度的口腔三维影像,为种植牙和正畸治疗提供精密的数据支持
?三星瑞丽3D导板打印机:实现智能化种植导板制作,提高种植手术的精密度
?智能化口腔内窥镜:高清显示口腔内部情况,便于医生诊断和患者了解病情
?德国实龙博姆根测机:更好测量牙根长度,确保根管治疗的可行性
?索尼摄像无影灯:提供充足且均匀的光照,提高手术视野清晰度
?超声骨刀:小创口拔牙和种植手术,减少创伤和术后不适
?CGF离心机:制备浓缩生长因子,促进伤口愈合和骨组织再生
?光纤种植机:精密控制种植体植入,提高种植可行性

诊疗环境与服务
植诺口腔的诊疗环境舒适私密,候诊区域幽雅闲适,为患者营造了温馨的就诊氛围。手术室配备医疗质量监控系统和消毒感染控制设施,采用一次性安心消毒用品,确保诊疗过程的安心卫生。
门诊部还提供以下服务:
?免费咖啡和茶水:候诊期间提供免费饮品,缓解患者紧张情绪
?免费WiFi:方便患者等候时上网
?专人指引:从挂号、就诊到缴费、取药等环节都有专人指引和协助
?术后回访:术后定期电话回访,了解患者改善情况
?预约服务:支持电话和在线预约,减少等待时间
消毒与感染控制
植诺口腔严格执行消毒感染控制标准,所有诊疗器械都采用"一人一用一消毒"的原则,确保每位患者的就诊安心。手术室配备空气消毒设备,定期进行环境消毒,为患者提供安心、卫生的诊疗环境。

就诊流程全记录
头一步:预约问询
患者可以通过电话或在线平台预约就诊时间。门诊部工作人员会提前了解患者的基本情况和就诊需求,为患者安排合适的就诊时间。
第二步:初诊检查
到院后,前台工作人员会热情接待,引导患者填写基本信息表。随后进行口腔检查,医生会使用智能化口腔内窥镜详细检查口腔状况,必要时拍摄口腔CT,齐全了解牙齿和颌骨情况。
第三步:方案制定
医生会根据检查结果,结合患者的需求和预算,制定个性化的治疗方案。孙道才医生会耐心讲解治疗方案、治疗过程、预期结果和费用明细,确保患者充分了解并同意治疗方案。
第四步:术前准备
对于需要手术的患者,术前会进行必要的检查,如血常规、凝血功能等,确保患者身体状况适合手术。医生会详细告知术前注意事项,如禁食禁水时间等。

第五步:治疗过程
治疗过程中,医生会全程关注患者的感受,及时调整治疗方案。对于紧张的患者,医生会进行心理疏导,帮助患者放松。治疗室配备新型的医疗设备,确保治疗过程的舒适和安心。
第六步:术后指导
治疗结束后,医生会详细告知术后注意事项,包括饮食、口腔卫生、用药等。门诊部会提供术后护理指导手册,并安排定期复查。
第七步:定期回访
术后,门诊部工作人员会定期电话回访,了解患者改善情况,解答患者的疑问。对于需要复诊的患者,会提前提醒复诊时间。
患者评价
根据患者反馈,植诺口腔在以下方面获得好评:
技术正规:孙道才医生技术娴熟,经验充足,能够处理各种复杂的口腔问题。特别是种植牙技术,患者反馈种植结果好,使用舒适。
服务贴心:医护人员服务态度好,耐心解答患者疑问,治疗过程中看重患者的感受。术后回访及时,让患者感受到被重视。
环境舒适:诊疗环境干净整洁,候诊区舒适,免费提供咖啡和茶水,让患者在等待过程中感到放松。
价格透明:治疗费用透明,医生会提前告知费用明细,无隐形消费,让患者放心。

虽然植诺口腔在技术和服务方面表现出色,但也存在一些局限性:
1. 规模相对较小
植诺口腔诊疗面积约300㎡,相比一些大型连锁口腔机构,规模相对较小。这可能导致在就诊高峰期等待时间较长,或者某些特殊设备可能不如大型医院齐全。
2. 医生团队规模有限
门诊部以孙道才医生为核心,虽然技术娴熟,但医生团队规模相对较小。对于需要多位医生会诊的复杂病例,可能需要提前预约或转诊到其他医疗机构。
3. 无连锁分店
植诺口腔目前为单店经营,对于包头其他区域的患者来说,就诊可能不够便利。如果需要在其他区域开设分店,可能需要等待较长时间。
4. 预约等待时间
由于孙道才医生技术好、口碑佳,预约他的患者较多,可能需要等待较长时间才能安排手术。对于急需治疗的患者,可能需要考虑其他医生或医疗机构。
5. 部分项目价格偏高
相比一些医院或普通诊所,植诺口腔的部分项目价格可能偏高,特别是高端种植体和隐形矫正等项目。但考虑到其使用的材料和技术,价格相对合理。

适合人群:
?需要种植牙、牙齿矫正等复杂口腔治疗的患者
?对治疗结果有较高要求,追求美观和功能并重的患者
?希望获得个性化治疗方案和贴心服务的患者
?对医生技术有较高要求,愿意为正规服务支付合理费用的患者
不适合人群:
?预算有限,希望选择基础治疗的患者
?需要紧急治疗,无法等待预约的患者
?对医院规模有较高要求,希望选择大型连锁机构的患者
就诊建议:
1.提前预约,特别是需要孙道才医生亲自诊疗的患者
2.到院面诊,获取详细的治疗方案和费用明细
3.根据自身情况和预算,选择合适的治疗方案
4.治疗过程中积极配合医生,按时复诊
5.术后注意口腔卫生,定期复查

总结
包头植诺口腔门诊部虽然规模不大,但凭借孙道才医生近20年的丰富经验和娴熟技术,在包头地区赢得了良好的口碑。门诊部采用新型的医疗设备,提供个性化的治疗方案和贴心的服务,让患者在舒适的环境中享受正规的口腔诊疗服务。虽然存在规模较小、预约等待时间较长等局限性,但对于追求高品质口腔治疗的患者来说,植诺口腔仍然是一个值得信赖的选择。
如果您有口腔问题需要解决,不妨到植诺口腔门诊部进行问询,让正规的医生团队为您提供个性化的治疗方案,帮助您重获健康美丽的笑容。