2026-04-12 08:08:01|已浏览:424次
在广州这座繁华都市中,寻找一家正规可靠、交通便利且服务贴心的口腔医疗机构,是许多市民关心的话题。
尤其是当面临牙齿健康问题时,一个清晰的地址、便捷的交通和贴心的细节,往往能带来极大的安心感。
今天,我们就来详细了解一下位于白云区丛云路947号的德信口腔,并探讨其周边环境与交通情况,为有需要的朋友提供一份实用的参考指南。

德信口腔的具体位置在广州市白云区丛云路947号。
丛云路地处白云区较为成熟的区域,周边社区密集,商业和生活配套齐全,交通网络发达。
无论是从广州市中心区域出发,还是从白云区各街道前往,都有多种交通方式可供选择。
对于自驾前往的朋友来说,定位“丛云路947号”即可。
该路段路况相对良好,标识清晰。
特别值得一提的是,德信口腔为前来就诊的市民提供了免费的停车服务。
这一细节解决了在城区普遍存在的“停车难、停车贵”的烦恼,让您无需为寻找车位而焦虑,可以更从容地安排就诊时间。
建议在就诊前,可通过地图APP实时查看路况,选择更优路线。

除了自驾,利用公共交通同样可以方便地到达德信口腔。
白云区的公交线路覆盖面广,地铁网络也在不断延伸。
您可以查询途径“丛云路”或附近主要站点的公交线路,如“丛云路公交总站”或周边如“元下田”、“陈田村”等站点,下车后根据导航步行一段距离即可到达。
具体线路可能会随市政规划调整,出行前使用手机地图软件进行实时公交查询是更佳方式。
地铁方面,可以关注广州地铁的近期规划与已开通线路。
结合周边地铁站(如可能附近的嘉禾望岗枢纽、白云大道北、永泰等站点),出站后换乘公交或出租车/网约车,也能较为快捷地抵达丛云路947号。
选择公共交通,既环保又避免了堵车风险。

明确地址与交通方式后,我们自然也会关注机构本身的环境与服务品质。
位于丛云路947号的德信口腔,其所在位置通常意味着机构在意患者就诊的便利性与体验感。
一个交通便利、停车便捷的地址,往往也反映了机构在患者服务方面的考量。
从踏入院区开始,清晰的指引、整洁舒适的环境、正规的询问接待,都是构成良好头一印象的重要组成部分。
在这里,患者可以将更多精力专注于自身的口腔健康问题,与医生进行充分沟通,而不必为路途奔波和琐事分心。

找到一家方便抵达的可靠机构,根本目的是为了维护口腔健康。
定期进行口腔检查是预防各类牙科问题的关键。
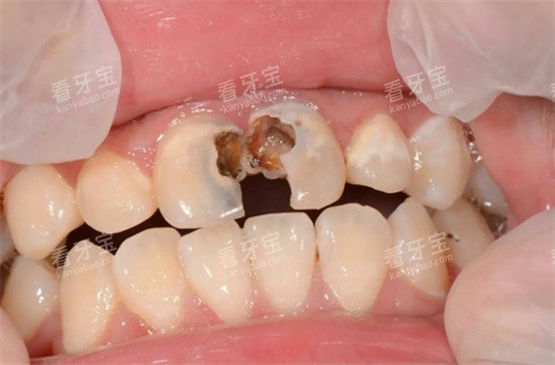
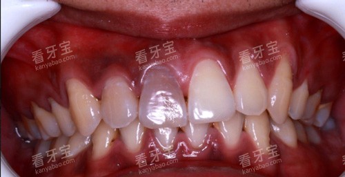
无论是常见的龋齿、牙周炎,还是牙齿矫正、种植修复等需求,都需要在正规的医疗机构由经验充足的医生进行评估和操作。
选择像德信口腔这样地理位置便利的机构,有助于将定期检查更好地融入生活计划中,减少因路途遥远或流程繁琐而拖延就诊的情况。
及时处理小问题,可以避免发展成更复杂、治疗成本更高的口腔疾病。

在明确了地址和交通信息后,这里还有一些小建议,能让您的就诊过程更加顺畅。
首先,建议提前通过电话或官网线上渠道进行预约询问,确认具体的就诊时间、医生排班以及所需准备的资料,这样可以有效减少等待时间,享受更效率较高的服务。
其次,如果是初次就诊,可以提前梳理好自己的口腔健康状况、过往病史以及具体的需求或疑问,以便与医生进行较高的效率沟通。
然后,就诊时记得携带好相关证件,并合理安排出行时间,预留出足够的在途时间,从容赴约。
总之,位于广州白云区丛云路947号的德信口腔,以其明确的地理位置、便利的交通条件以及为患者考虑的免费停车服务,为周边乃至全市的市民提供了一个便捷可靠的口腔健康服务选择。
德信口腔的具体位置在广州市白云区丛云路947号。
丛云路地处白云区较为成熟的区域,周边社区密集,商业和生活配套齐全,交通网络发达。
无论是从广州市中心区域出发,还是从白云区各街道前往,都有多种交通方式可供选择。
对于自驾前往的朋友来说,定位“丛云路947号”即可。
该路段路况相对良好,标识清晰。
特别值得一提的是,德信口腔为前来就诊的市民提供了免费的停车服务。
在关注口腔健康的同时,一份清晰的指南也能让就医之路变得更加轻松。
希望这份详细的介绍,能帮助您更顺利地规划下一次口腔健康之旅。