2026-04-18 08:22:01|已浏览:435次
在嵊州杭成口腔拔一颗智齿,价格并不是固定的,它就像打车,起步价和比较终费用取决于你的“路程”复杂程度。一般来说,从几百元到两千元左右不等,这个区间完全由你智齿的“长相”和位置决定。下面我就结合他们家的收费逻辑和技术特点,给你掰开揉碎了讲明白。

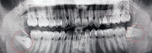
决定价格的头一要素,武断是智齿的难易程度。医生会根据全景X光片,把你的智齿归个类,这直接关联到手术时间和技术复杂度。
“简单模式”——正位萌出智齿
这类智齿比较“乖巧”,已经正常长出来了,形态也端正,没有歪斜。拔除它就像拔一颗普通的磨牙,操作相对简单,创伤小,改善也快。在杭成口腔,处理这类智齿的费用通常比较亲民。
“困难模式”——各类阻生智齿
这才是大多数人的烦恼来源!阻生智齿就是没能正常萌出,卡在了骨头或牙龈里。它又分好几种:
近中阻生: 智齿向前倾斜,顶住了前面的邻牙,容易导致邻牙蛀牙。
水平阻生: 智齿完全“躺平”长在牙槽骨里,这是拔除难度和创伤都比较大的一种。
完全骨埋伏: 智齿完全藏在牙槽骨里,连头都没露出来,需要切开牙龈、去除部分骨头才能找到它。
这类智齿的拔除,可以理解为一项精细的“小创口手术”,价格自然会更高。

了解了难度分级,我们来看具体的价格。杭成口腔的收费体系是透明且按难度阶梯定价的,你可以对号入座,有个初步预估。
上颌智齿拔除费用参考
一般来说,上颌的骨质相对疏松,智齿拔除的难度通常低于下颌。所以,上颌智齿的起步价也相对低一些。
对于萌出正常、难度较低的上颌智齿,费用大概在400-500元起。
如果遇到位置靠后或者有一定阻生情况的上颌智齿,费用可能会在700-800元左右。
这个价格区间覆盖了大部分普通的上颌智齿情况。
下颌智齿拔除费用参考
下颌骨骨质致密,神经血管丰富,尤其是阻生智齿,处理起来更需谨慎,因此费用基准也更高。
对于初步判断难度不大的下颌智齿,起步价可能在600-700元左右。
而针对常见的近中阻生、水平阻生等复杂情况,因为需要更精细的切开、分牙或去骨操作,费用通常会达到8001-900元,甚至根据复杂程度更高一些。
对于极其复杂的完全骨埋伏水平阻生智齿,由于手术耗时很长,对医生技术和设备要求极高,费用可能在2000元左右。这个价格体现的是其复杂的技术价值。
这里要特别提一下,他们有一台价值不菲的专用骨刀。在处理需要去骨的复杂埋伏智齿时,这种设备可以更比较准、更小创口地切割骨头,能有效减少对周围组织的损伤,术后肿痛反应也会轻一些。虽然设备高端,但这项技术的应用已经包含在整体的手术评估费用里了。

拔智齿的总费用是组合项,透明化的机构会提前告诉你可能包含哪些。
必要的检查费: 拔牙前拍一张口腔全景X光片(可能还有小牙片)是必须的,这是为了看清智齿的根尖形态、与神经管的位置关系,确保手术可靠。这项检查费用是单独计算的。
麻醉药品费: 使用的局部麻醉药物费用。
术后用药费: 医生会根据情况开一些降低炎症、止痛药,这部分药费另计。
报销: 一个特别大的利好是,在杭成口腔,符合政策的拔牙治疗项目和药品费用,是可以使用个人账户进行支付的,这能实实在在地为大家省下一笔钱。
在对比和了解中,我发现杭成口腔的收费方式有几个让人放心的点。
评估后才定价,拒绝“一口价”忽悠。 他们不会在没看到你的牙片、没做检查前就报一个固定价格。一定是先检查,医生根据影像清晰判断难度后,再告知你大致的费用区间。这种“按需定价”的方式其实更公平。
价格与难度严格挂钩。 简单的牙不会收你复杂的钱,复杂的牙也需要相应的技术支撑,价格体现了价值。你不会为简单的操作支付过高费用,也能理解复杂手术的合理定价。
无隐形消费提示。 在确认治疗方案和费用时,正规机构都会让你知情同意,包括检查费、药费等都会提前说明,整个过程很清晰。

我朋友前段时间就去那里拔了一颗水平阻生的下颌智齿,他的经历可以给大家做个参考。
他先是预约到院,拍了片。医生拿着片子给他详细讲解了智齿是水平顶着前牙的,展示了神经管的位置,并说明了手术中会如何避开。然后告知了大概的费用范围,以及如何使用。手术当天,医生操作很稳,虽然牙难拔,花了些时间,但过程中不断安抚他。术后还详细交代了冰敷、饮食和清洁的注意事项,并开了药。他印象很深的是,医院主动提出来,因为他这个手术算比较大型的,如果回家不方便,可以提前预约他们的接送服务,虽然然后他没需要,但觉得这个细节很贴心。
这其实也反映了杭成口腔作为一家综合性口腔机构的特点:不仅能处理拔牙这样的外科项目,在种植牙(比如有韩国种植系统,价格从3580元起可供选择)和牙齿矫正方面也有可靠团队。这种综合实力意味着他们看待问题更多方面,比如你的智齿是否需要拔,拔了后对邻牙或整个牙列有何影响,他们能给出更统筹的建议。